CONICET - NeuroMente

Año IX
Febrero 2026
Vaya al Contenido

Menu Principal:

Instituciones > CONICET
Investigadores del CONICET descubren un mecanismo clave sintonizador de la respuesta inmunológica durante el envejecimiento

Cuando se desajusta pueden desarrollarse enfermedades autoinmunes como el síndrome de Sjögren o respuestas inflamatorias descontroladas.


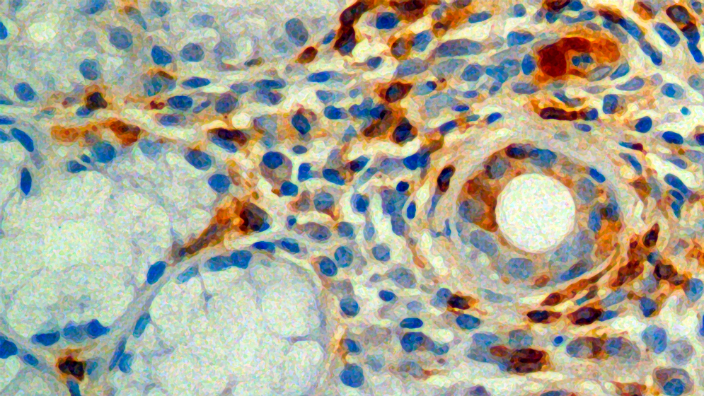
Linfocitos T CD8 (células con el núcleo azul marcadas en marrón) infiltrando la glándula salival de un paciente con Síndrome de Sjögren.

El sistema inmune tiene la capacidad de proteger al organismo de distintas amenazas. Esto se debe a que puede distinguir aquello que forma parte del organismo de lo que no lo es, como los virus y las bacterias, o lo es pero de manera alterada, como las células tumorales. Atacar y eliminar aquello que puede dañar el organismo es la función fundamental del sistema inmunológico.
No obstante, existe un grupo de patologías que resulta de fallas en la autorregulación del funcionamiento del sistema inmunológico, denominadas autoinmunes. Se trata de más de ochenta enfermedades, entre las que se encuentran, por ejemplo, la artritis reumatoidea, la esclerosis múltiple, la diabetes tipo 1 y el síndrome de Sjögren.
El envejecimiento del sistema inmunológico puede asociarse con respuestas autoinmunes. Sucede que, al desajustarse, el sistema inmunológico empieza a reconocer como ajenos antígenos propios y a atacar tejidos funcionales. Para que esto suceda es necesario que fallen los circuitos tolerógenicos responsables de inhibir este tipo de respuestas inmunes.
Galectina-1: un punto de chequeo inhibitorio del sistema inmune

Recientemente, un equipo interdisciplinario de investigadores del CONICET pudo corroborar, a través de experimentos con modelos animales y muestras de pacientes con síndrome de Sjögren, que la proteína endógena Galectina-1 (Gal1) es un regulador fundamental del sistema inmunológico que funciona como punto de chequeo inhibitorio y evita la aparición espontánea de enfermedades autoinmunes vinculadas a la edad.
El trabajo fue publicado en la revista Proceedings of the National Academy of Sciences (PNAS) y coordinado por el investigador superior del Consejo Gabriel Rabinovich y la investigadora adjunta Marta Toscano. Rabinovich es director del Laboratorio de Inmunopatología del Instituto de Biología y Medicina Experimental (IBYME, CONICET) y Marta Toscano, si bien hoy es investigadora en  el Hospital Dr. Arturo Oñativa de la capital de Salta, formó parte del IBYME entre 2007 y fines del 2018.
Las funciones de Gal1 fueron identificadas por Rabinovich y su equipo,  hace más de veinticinco años, cuando iniciaba su carrera científica y trabajaba en la Universidad Nacional de Córdoba (UNC). Desde ese momento, participó y dirigió numerosas investigaciones que avanzaron en mostrar la importancia de esta proteína en la regulación del sistema inmunológico en situaciones de patología, fundamentalmente en tumores malignos, infecciones y condiciones de autoinmunidad.
El trabajo publicado en PNAS -que formó parte de la tesis doctoral de Verónica Martínez Allo (primera autora del artículo)- representa para los investigadores un punto clave en los estudios sobre Ga1, cuya continuación será buscar el desarrollo de un fármaco para tratar enfermedades autoinmunes.
Se trata de una investigación hecha enteramente en la Argentina, desarrollada en el Laboratorio de Inmunopatología del IBYME con la colaboración de investigadores y profesionales de otras instituciones públicas, como el Instituto de Química Biológica de la Facultad de Ciencias Exactas y Naturales (IQUIBICEN, CONICET-UBA), el Instituto de Histología y Embriología de Mendoza (IHEM, CONICET-UNCUYO) y el Hospital de Agudos Bernardino Rivadavia (GCBA), del que además se obtuvieron las muestras de pacientes que se utilizaron en uno de los estudios.
Estudio con ratones deficientes en Galectina-1

“Nosotros ya teníamos un gran número de evidencias de que Gal1 funcionaba como inmunosupresor, a partir de diferentes estudios que mostraban el control que ejercía sobre distintas células del sistema inmune, siempre orientado a prevenir la autoinmunidad. En este sentido, sabíamos, por ejemplo, que suprimía linfocitos T patogénicos, creaba células dendríticas tolerogénicas y desactivaba macrófagos M1 (un tipo celular involucrado en el desarrollo de enfermedades autoinmunes). Pero para terminar de demostrar, como pensábamos, que Gal1 era un punto de chequeo inhibitorio de la respuesta inmunológica, teníamos que llevar adelante una serie de estudios con modelos animales deficientes en esta proteína y ver que ocurría a lo largo de su vida”, explica Rabinovich.
Lo que hicieron fue utilizar ratones modificados genéticamente que carecen de Gal1 y estudiarlos a largo plazo para poder evaluar en detalle su sistema inmunológico y  ver qué enfermedades desarrollaban en relación con los ratones control. Así, pudieron observar que al envejecer los ratones sin Gal1 tienden desarrollar de manera espontánea autoinmunidad, al exhibir -al igual que sucede en humanos que padecen el síndrome de Sjögren- inflamación de las glándulas salivales (sialadenitis) con protagonismo de linfocitos patogénicos T CD8+.
Los linfocitos T CD8+ del sistema inmune – al igual que las células TH1 y TH17 – aunque son capaces de causar enfermedades autoinmunes al dañar tejidos propios, también son fundamentales a la hora de dar respuestas contra virus y células tumorales.
“Si al envejecer, los ratones mutantes carentes del gen que codifica para Gal1 no hubieran mostrado tendencia a desarrollar autoinmunidad, hubiéramos tenido que concluir que esta proteína, aunque importante, quizás no era clave jerárquicamente. Su propensión a causar patologías comprueba, en cambio, que Gal1 es un mediador crucial para protegernos de enfermedades autoinmunes”, subraya el investigador.
Junto con la inflamación de sus glándulas salivales y una mayor expansión de los linfocitos T CD8+, los ratones envejecidos deficientes en Gal1 exhibieron células dendríticas -responsables de presentar el antígeno a los linfocitos T efectores que se encargan de eliminarlo- con mayor potencial inmunogénico y una menor frecuencia de linfocitos T reguladores, cuyo rol dentro del sistema inmune es silenciar a los linfocitos T efectores.
Estudio con ratones NOD

“Además de los estudios con ratones carentes en Gal1, trabajamos con un modelo de ratones diabéticos no obesos (NOD, por sus sigla en inglés) que además de tener diabetes 1 desarrollan sialadenitis a partir de la semana dieciséis. Lo que vimos es que con la edad, y el consecuente avance de la enfermedad, bajaba la expresión de Gal1 tanto en el suero como en las glándulas salivales, algo que no sucede en los ratones que no desarrollan autoinmunidad. Además, y esto es muy importante, al inyectarles Gal1 se restablecieron los circuitos tolerogénicos y se redujo la inflamación de las glándulas salivales”, afirma Marta Toscano.
El estudio con ratones NOD, además de permitir correlacionar envejecimiento, disminución de Gal1 y autoinmunidad, alienta a los investigadores a pensar en que es posible desarrollar fármacos que permitan evitar el avance de enfermedades autoinmunes en base a la proteína identificada por Rabinovich en los inicios de los años ‘90.
“Además de sialdentitis, los pacientes con Sjögren muestran sequedad bucal, ocular y genital, un conjunto de manifestaciones que implica un importante deterioro de su calidad de vida. Hasta ahora, los tratamientos que existen sólo buscan aliviar los síntomas. Los resultados de este trabajo señalan que la inmunomodulación mediada por Gal1 tal vez podría ser una solución para este problema”, señala Martínez Allo.
Estudios con muestras de pacientes

Finalmente, gracias a la colaboración establecida con las Unidades de Reumatología y Anatomía Patológica del Hospital General de Agudos Bernardino Rivadavia, los investigadores pudieron acceder a biopsias labiales de pacientes con síndrome de Sjögren y observaron que junto con una mayor expansión de células T CD8+ en la glándula salival había una reducida expresión de Gal1.
“La suma de estudios incluidos en este trabajo permite confirmar, ya sin dejar lugar dudas, que Gal1 controla de manera jerárquica eventos celulares y moleculares del sistema inmunológico y previene el desarrollo de autoinmunidad espontánea dependiente de la edad”, señala el investigador.
“La originalidad de estos resultados reside en que por primera vez se informa un posible papel inmunoregulador de Gal1 en el desarrollo del síndrome de Sjögren. Su relevancia científica está dada, entre otros aspectos, por el abordaje experimental, que no solo empleó distintos modelos en ratón sino también, y esto es especialmente valioso, incluyó observaciones en tejido glandular de pacientes”, agrega Claudia Pérez Leiros, investigadora principal del CONICET en el IQUIBICEN y otra de las autoras del trabajo.
Pérez Leiros y la investigadora asistente del Consejo en su laboratorio, Vanesa Hauk, aportaron su experiencia en el estudio del síndrome de Sjögren. Asimismo, las investigadoras destacaron la invitación a participar en el trabajo que recibieron de Rabinovich que, según sus palabras, “constituye una pequeña muestra de lo que se puede hacer cuando se reúne el conocimiento y las habilidades de distintos laboratorios de investigación con el de los especialistas dedicados a la medicina asistencial”.
Autoinmunidad y cáncer: dos caras de una misma moneda

La línea de investigación del grupo dirigido por Gabriel Rabinovich está orientada desde hace ya muchos años a entender cómo se regula el sistema inmunológico en situaciones de patología. Sus trabajos se han centrado principalmente en cáncer y en enfermedades autoinmunes e infecciosas. No obstante, a la hora de buscar salidas terapéuticas dichas problemáticas parecen estar íntimamente relacionadas.
“Este trabajo se enfoca en conocer mejor el rol de Gal1 en la autoinmunidad, pero sus derivaciones y sus conclusiones podrían ser aplicables para el tratamiento de tumores. Entender cómo opera el sistema inmunológico contra antígenos nos da herramientas para tratar enfermedades autoinmunes, pero también el cáncer: son dos caras de la misma moneda”, advierte Toscano.
Si la deficiencia en Gal1 puede derivar en el desarrollo de enfermedades autoinmunes en la tercera edad, su sobreexpresión puede evitar que los linfocitos T actúen frente a la presencia de patógenos o células tumorales. En este sentido, de acuerdo con la patología de la que se trate, las terapias podrían apuntar a aumentar o disminuir la expresión de esta proteína.
Gal1 no es en sí misma ni buena ni mala, a veces ocupa el lugar de villana, cuando ayuda a un tumor a escapar de la respuesta inmune, y en otras el de heroína al evitar la autoinmunidad. Pero conocer la forma en que se regula el sistema inmunológico nos brinda la posibilidad de manipularlo en sentidos opuestos, según la enfermedad de la que se trate. Así como se podría estimular farmacológicamente la expresión de Gal1 también se la podría bloquear. A su vez los resultados obtenidos sientan las bases para el estudio de otros fenómenos inflamatorios exacerbados, como aquéllos observados durante el COVID-19, desencadenados como respuesta al virus SARS-Co-V2, responsable de esta patología”, concluye Rabinovich.

Por Miguel Faigón
Referencia bibliográfica
Suppression of age-related salivary gland autoimmunity by glycosylation-dependent galectin-1-driven immune inhibitory circuits. Verónica C. Martínez Allo, Vanesa Hauk, Nicolas Sarbia, Nicolás A. Pinto, Diego O. Croci, Tomás Dalotto-Moreno, Rosa M. Morales, Sabrina G. Gatto, Montana N. Manselle Cocco, Juan C. Stupirski, Ángel Deladoey, Esteban Maronna, Priscila Marcaida, Virginia Durigan, Anastasia Secco, Marta Mamani, Alicia Dos Santos, Antonio Catalán Pellet, Claudia Pérez Leiros, Gabriel A. Rabinovich, Marta A. Toscano. Proceedings of the National Academy of Sciences Mar 2020, 201922778; https://doi.org/10.1073/pnas.1922778117
Nuestras Visitas
contador de visitas web
Regreso al contenido | Regreso al menu principal