Noticias - NeuroMente

Año VIII
Noviembre 2025
Vaya al Contenido

Menu Principal:

Gabriela, la niña colombiana alegre e inteligente que vive sin un tercio del cerebro.

Gabriela Garcia Gutiérrez es una niña nacida en Cali con una particularidad única que desvela a la ciencia: nació sin los lóbulos frontales del cerebro.
Gabriela García Gutiérrez es una niña nacida en Cali, Colombia, muy alegre e inteligente, que vive con su familia y concurría hasta hace 3 años a la escuela. Pero con un particularidad única que desvela a la ciencia: nació sin los lóbulos frontales del cerebro, los cuales según los expertos, ocupan un tercio de la corteza cerebral y son los encargados de regular las emociones y sentimientos.
Su madre Katherine notaba pequeños retrasos en Gabriela durante su crecimiento, pero los consideraba normales ya que, según ella, "cada niño crece a su modo". Sin embargo, desde hace tres años que la conducta de la menor, que hoy ya tiene 8,  se tornó incontrolable, con repentinos y continuos actos de desinhibición y rebeldía que la hicieron interrumpir su asistencia a la escuela.
Preocupada, Katherine concurrió a varios médicos y especialistas en Colombia, quienes le revelaron el origen de la agenesia (es decir, que un órgano del cuerpo presenta un desarrollo defectuoso) que le producía convulsiones y episodios de esquizofrenia a su hija: la falta una porción del cerebro. La madre de Gabriela investigó y creyó firmemente que la solución al problema de su hija estaba en Argentina. Más precisamente en el Instituto Ineco.
"El caso de Gabriela es absolutamente excepcional, no tiene registro en la medicina. Hace dos años nos enteramos de su padecimento y empezamos a investigar a distancia y en viajes que realizamos un grupo de médicos argentinos a Cali", explicó a Infobae el doctor Agustín Ibáñez, director del Instituto de Neurociencia Cognitiva y Traslacional (Incyt), de triple dependencia: Ineco-Favaloro-Conicet.
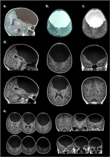
"Gabriela carece del lóbulo frontal, que es la parte más evolucionada que tiene el cerebro. Allí se determina el control de la conducta, el procesamiento de las emociones, los deseos, las llamadas ejecutivas de determinada acción, el lenguaje y otras más. Esa porción cerebral es realmente como una computadora compleja, donde se mantienen más conexiones. La niña presenta solamente un 10% de esa corteza prefrontal, pero al estudiarla vimos que no tiene ninguna conexión cerebral", sostuvo Ibañez.
Según describió la mamá de Gabriela, "ella debería ser un vegetal, pero es una niña que razona, aprende y se comunica".
Katherine decidió contactarse con los médicos argentinos que actualmente tratan a su hija ya que consideró que en Colombia la habían diagnosticado y tratado muy mal. Inclusive, los médicos colombianos pensaron que se trataba de un caso de hidrocefalia y la operaron para colocarle una válvula que drenara el líquido. Gabriela pasó varios días en terapia intensiva recuperándose de una operación que no sirvió de nada. Pero su fuerza de voluntad la ayudó a sobrellevar ese trauma.
Antes de viajar a conocerla, el doctor Ibañez vio las resonancias efectuadas en su cerebro y pensó que no caminaba, por carecer de corteza motora, o que no hablaba, porque le faltaba las áreas de Broca.
Según Ibañez, ella pertenece a grupo de los pacientes que están dentro del llamado "Misterio de los lóbulos frontales", descritos por Marsel Mesulam, director del Centro de Neurología Cognitiva y Alzheimer de la Universidad Northwestern, y reconocido por ser uno de los "padres" de la neurología cognitiva.
Sabíamos por los profesionales contactados allá en Colombia y por los estudios realizados que ella no tenía los lóbulos del cerebro cruciales para ordenar la conducta de una acción. Pero al conocerla , pudimos notar que podía comprender el lenguaje, realizar juegos simbólicos, tener conciencia y hasta resolver problemas complejos. Nos sorprendió enormemente", describió el profesional.
El lóbulo frontal es una estructura anatómica situada en la parte delantera del cerebro, cercana al rostro. Ocupa un tercio de la corteza cerebral y es clave para, entre otras cosas, regular las emociones y sentimientos de un ser humano, determinar la toma de decisiones, generar conciencia y memoria, y desarrollar el lenguaje y la cognición social.
La epideomióloga colombiana Nayibe Valencia afirmó que este tipo de malformaciones no son muy frecuentes. "El no contar con un lóbulo del cerebro tiene serias implicaciones en el sistema nervioso central ya que es el encargado de controlar todo".
"Las afectaciones en su comportamiento se deben a que el lóbulo frontal asimila las emociones y determina cómo la niña ve el mundo. Sin esa parte del cerebro, no hay un filtro en sus sentimientos, simplemente los exterioriza y ya", resumió la experta.
Todas las teorías sobre la función cerebral coinciden en la gran complejidad de los lóbulos frontales y en su papel clave para funciones específicas, tales como la toma de decisiones, la conciencia, la memoria, el lenguaje y la cognición social. Es una región conectada a través de más de 12 vías con el resto del cerebro e incluye nodos críticos de muchas redes funcionales.
Estudios anteriores efectuados por neurocientíficos, como el llamado white collar worker (el trabajador de cuello blanco), se realizaron con un hombre que toda su vida se desarrolló normalmente, hasta que sufrió un agudo dolor en una pierna. Después de varios tratamientos, le realizaron una resonancia cerebral y hallaron que su cerebro tenía el tamaño de un puño. "No tenía el 75% del cerebro, y sin embargo hacía una vida completamente normal, con un trabajo en el gobierno y una familia tipo con hijos".
Facundo Manes, rector de la Universidad Favaloro y presidente de la Fundacion INECO para la investigación en neurociencias cognitivas, sostuvo a Infobae que este estudio muestra cómo las neurociencias cognitivas contemporáneas pueden ayudar a comprender la reorganización cerebral; y por qué este caso presenta tanta preservación de funciones cognitivas.

Neuroadaptación del desarrollo

El caso de Gabriela es único. "Es una persona con la que uno se puede comunicar muy bien, comprende, aprende, resuelve problemas, desarrolla su imaginación, distingue fantasía de realidad y reconoce todas las emociones", describió Ibañez.
"Si bien las imágenes estructurales muestran la ausencia del lóbulo cerebral, la tractografía y conexiones de neuronas se reorganizaron de forma plástica desde su concepción en el seno materno y durante su niñez. También observamos que las conexiones funcionales, las redes por donde se transmiten las órdenes cerebrales se reorganizaron", aclaró el profesional.
"Eso significa que en condiciones de neurodesarrollo, el cerebro puede generar una plasticidad enorme al punto de desarrollarse casi normalmente. Fue una neuroadaptación del desarrollo cerebral increíble", precisó Ibañez.
El especialista le recomendó a Gabriela y a su familia que vengan a la Argentina a realizar un tratamiento prolongado en Ineco de por lo menos 6 meses, por lo Katherine está en plena campaña de recolección de fondos en distintas redes sociales para que su hija logre el mejor tratamiento en nuestro país.
"Queremos que Gabriela inicie un tratamiento cognitivo conductual, en un marco multidisciplinario, para mejorar su conducta y autofijarse controles. Se trata de un entrenamiento cognitivo para que el monitoreo permanente de la madre, sea sustituido por un autocontrol de Gabriela, que le permita controlar sus impulsos y autoregular su conducta", destacó el experto.
"Nosotros no vamos a cobrar nada durante su tratamiento, pero Gabriela necesita fondos para venir a la Argentina y que su familia se hospede y vida aquí por un tiempo", concluyó Ibañez, que espera tener este años a la niña colombiana en la clínica.
Las personas que estén interesadas en ayudar a Gabriela García pueden hacerlo en la cuenta de Bancolombia 30375368563 a nombre de Katherine Gutiérrez Tabares.
Nuestras Visitas
contador de visitas web
Regreso al contenido | Regreso al menu principal